En este apartado podés ver descripciones de los tratamientos que ofrezco, así como también costos referenciales, ten en cuenta que los tratamientos son totalmente personalizados, por lo cual para un costo real es necesario una consulta presencial diagnostica.

Consulta presencia por primera vez, se establece un diagnostico, se prescriben estudios complementarios de ser necesarios, y se establece planes de pagos y tratamientos consecutivos.

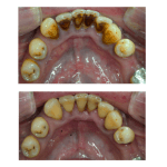
Tratamientos de caries dentales, restauraciones preexistentes defectuosas, cambios de amalgamas, fracturas restaurables de partes dentales.

Tratamiento de eliminación de calculo y placa dental, tartrectomia, profilaxis y pulido de las piezas dentales.

Tratamiento endodontico, de la pulpa dental (nervio), de piezas compometidas por diferentes causas como por ejemplo: caries extensas, con dolor, o fractura .se realiza para preservar el diente.

Tratamiento mínimamente invasivo para preserva la estructura remanente posterior a un tratamiento de conducto, sin necesidad de perno y corona, y más económico y duradero, puede ser con incrustaciones indirectas, puede variar el material composite por cerámica . se usa fibra de polietileno para reforzar

El estandar de oro para restituir dientes perdidos. requiere planificación y diagnostico de acuerdo a los requerimientos de cada paciente. Los valores reflejados son referenciales no incluyen corona definitiva,

PARTE 2 del Tratamiento con implantes dentales, Libre de metal, alta estetica.

Tratamiento para corregir las malposiciones dentales.El costo referencia mostrado es por un tratamiento con alineadores, requiere obligatoriamente valoración previa y estudios complementarios. TRABAJAMOS CON KEEPSMILING MARCA LIDER EN ARGENTINA

Tratamiento para corregir las malposiciones dentales.El costo referencia aquí mostrado es de ortodoncia metálica convencional. requiere obligatoriamente valoración previa y estudios complementarios.

Tratamiento para restituir dientes perdidos, puede unas o la totalidad de las piezas dentales. Se confecciona en acrílico, flex, cromo-acrilico.

tratamiento de extracción dentales simples y complejas, extracción de muelas de juicio. Requiere diagnostico y valoración previa

Tratamiento estético de aclaramiento dental, realizado en el consultorio. requiere valoración y diagnostico previo.

Tratamiento para pacientes con bruxismo, apretamiento o rechinamiento dental. requiere diasgnostico y valoración previa. costo referencial.

Tratamiento para restaurar la estructura perdida de piezas dentales deterioradas, para colocar sobre implantes dentales, sobre pernos y postes.

Tratamiento para restaurar la estructura perdida de piezas dentales deterioradas, para colocar sobre implantes dentales, sobre pernos y postes. Libre de metal, alta estetica.